Restorative Dentistry

Bring Back your Smile

Restorative dentistry can restore the strength and beauty of your smile, and whenever possible, we will do our best to preserve your natural teeth. When needed, we can also provide tooth replacement options that are both functional and beautiful. Our overall goal is to bring back your smile and maintain future oral health.

Restorative dentistry procedures are important for keeping your teeth properly aligned, replacing missing teeth, and maintaining good oral care habits. Your restorative dentistry treatment plan may include one or more of the following solutions:

  • Dentures
  • Composite Fillings
  • Inlays / Onlays
  • Crowns
  • Bridges
  • Dental Implants
Farmington Hills Dentist | Restorative Dentistry

How Restorative Dentistry Can Help

Replacing or repairing teeth makes maintaining good oral health a much easier process. It can prevent plaque build-up and impact your appearance and self-esteem. Restorative dentistry may be right for you if you have experienced any of these dental issues:

  • Tooth decay
  • Cracked or broken teeth
  • Tooth pain
  • Missing teeth
  • Severely worn teeth

These ailments can cause significant issues with everyday life and comfort. Our restorative dentistry services can help provide much needed relief. It’s important to consider all the facts before scheduling any procedures. We’ll work with you to make sure restoration options are ideal for your situation.

Farmington Hills Dentist | Restorative Dentistry

Restorative Dentistry with Farmington Dental Studio

At Farmington Dental Studio, we offer excellent restorative dentistry services to all of our patients. With it being one of the more common services we provide, most patients will require some type of restorative procedure in their life. We will schedule routine appointments for you or your family to carefully monitor your dental health.

Contact us today to go over some of the restorative options available to benefit your oral health. The earlier these problems are addressed, the sooner they can be corrected. At Farmington Dental, the quality of your smile is our biggest goal.

Farmington Hills Dentist | Restorative Dentistry
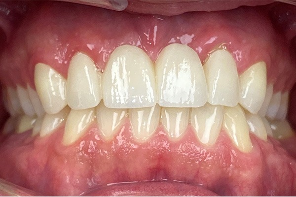
After
Farmington Hills Dentist | Restorative Dentistry
Before

Your Smile. Your Plan. Your Studio.

No two smiles are the same, and neither are our treatment plans. At Farmington Dental Studio, every patient receives a fully personalized approach—from the first consultation through every milestone of your care. Our team takes the time to listen, understand your goals, and create a plan that works for your life, your health, and your budget.

Whether you’re here for preventative care or a complete smile transformation, you’ll always be treated as an individual—never a number.